

(图源:网络)
“医生,我肺上这个‘小疙瘩’要不要紧?是不是癌啊?”
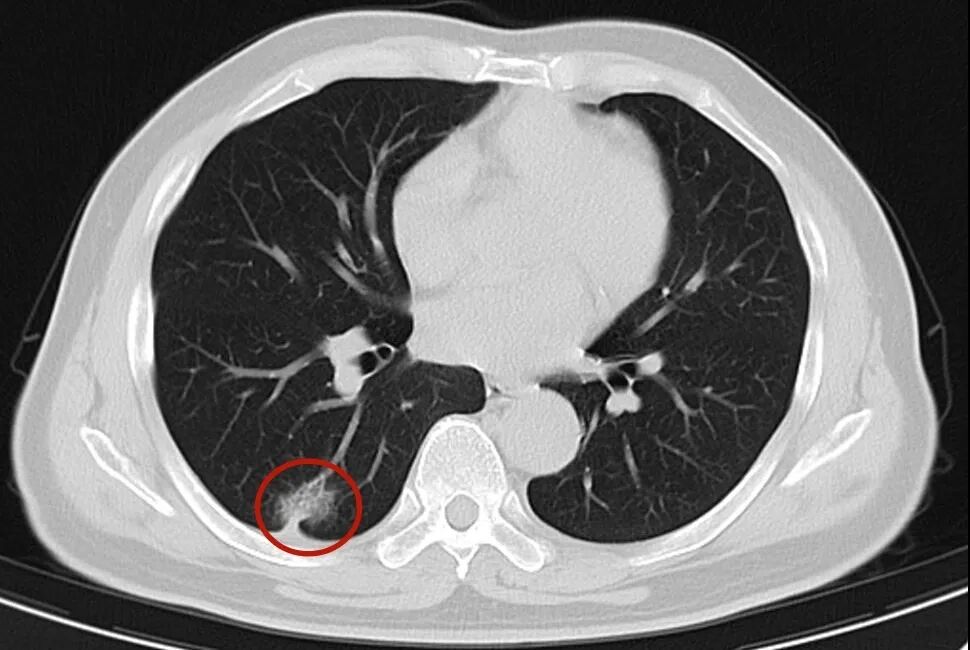
在我院心胸外科诊室,64岁的陈叔攥着CT报告,声音忍不住地颤抖。一次普通的社区体检,竟发现他右肺有一个“混杂磨玻璃结节”,报告上“Lung-RADS 4A类”的字眼,让他几天几夜没睡好。

(图为陈叔的CT报告,红圈处为结节)
幸运的是,在我院心胸外科团队的精准治疗下,陈叔通过一个仅3厘米的小孔,成功摆脱了早期肺癌,术后一周多就康复出院!
体检查出“危险信号”,结果竟是…
陈叔身体一向硬朗,这次的体检结果却让他和家人心头一紧。我院心胸外科主任伊严仔细阅片后,结合结节长期存在的特点,判断:“这个‘磨玻璃结节’很可能就是早期肺癌的信号,必须尽快处理!”
“一听是癌,感觉天都塌了。”陈叔回忆道,“但医生告诉我,发现得早,效果非常好,这才让我定了心。”
一个小孔,半小时锁定“元凶”
与家人商量后,陈叔决定接受手术。随后,伊主任团队为他实施了“单孔胸腔镜肺癌根治术”。

(伊严主任团队正在为陈叔实施手术)
手术仅通过一个3厘米的小孔,在胸腔镜的精准引导下,不仅完整切除了病灶,还立即进行了快速病理检查。结果证实了术前的判断:浸润性粘液腺癌。医生随即进行了标准的肺癌根治术,整个过程仅2小时,出血极少。
据悉,单孔胸腔镜微创手术是我院心胸外科的特色技术品牌。该技术具有创伤小、疼痛轻、恢复快,但操作难度大,目前在国内并未普及。
术后第二天即下床,一周后康复出院!
术后,在我院心胸外科护理团队的精心照料下,陈叔第二天就能下床活动。更令人欣喜的是,最终的病理报告显示:淋巴结未见癌细胞,属于早期肺癌(IA3期)!
“早期肺癌只要规范根治,5年生存率超过90%!”伊主任的这句话,给陈叔一家吃了一颗“定心丸”——术后一周多,陈叔便顺利康复出院。
【专家科普】肺结节≠肺癌!这些知识能救命
查出肺结节,先别自己吓自己!我院心胸外科专家为您划重点:
90%以上的肺结节是良性的!

(图源:网络)
肺结节只是影像学上的一个“影子”,炎症、结核等都可能形成,不等于肺癌。
查出结节怎么办?
· 别慌张:立即找专科医生进行评估。
· 听医嘱:医生会根据结节的大小、形态等,决定是定期随访还是需要进一步治疗。
· 科学应对:良性结节定期复查即可;高度怀疑恶性结节的,应像陈叔一样尽早微创干预。
对付肺结节/肺癌,我们有“十八般武艺”:
· 单孔微创手术:早期肺癌首选,根治与快速康复兼得。
· 消融手术:无法耐受手术患者的福音,一根细针“烧死”肿瘤。
· 靶向与免疫治疗:针对中晚期肺癌的“精准武器”,副作用小,效果显著。
专家提醒:这几类人需特别当心!
如果您属于以下人群,建议将低剂量胸部CT纳入年度体检:
· ✅ 年龄在40岁以上;
· ✅ 长期吸烟或吸二手烟;
· ✅ 有职业暴露史(如石棉、粉尘等);
· ✅ 有肺癌家族史。
肺结节,是警钟,但不是丧钟!陈叔的经历正是“早发现、早诊断、早治疗”理念的最佳印证。科学应对,精准治疗,是战胜疾病的关键。
如您有就诊需求,可通过我院公众号预约心胸外科门诊或肺结节门诊,咨询专业医生。
中山市中医院编辑部
编辑:蔡雯
初审:蔡雯
复审:黄琳
终审:郑臣校
